Hey there! You ever felt that nagging pain in your back? Ugh, it’s the worst!
Well, let me tell you about something that could change the game. Imagine a techy tool that gives a super-clear peek into your spine’s health. Yup, I’m talking about advanced L spine X-Ray technology!
This isn’t just any old X-ray—it’s like having a backstage pass to what’s going on inside your body. So you can finally understand what’s up with that ache and get on the path to feeling better.
Stick around, because this could be the key to revitalizing your health!
Comprehensive Spine Care and Treatment at Stanford Spine Center in Palo Alto
Hey there! So, let’s chat about spine care for a second, shall we? The spine is, like, super important for your overall health. It keeps you standing tall and helps you move around without feeling like a pretzel. At the Stanford Spine Center in Palo Alto, they take spine care to a whole new level!
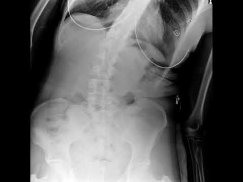
One of the cool things they offer is **advanced L Spine X-Ray technology**. Sounds fancy, huh? Well, it really is! This special type of X-ray helps doctors take a closer look at your lower back—where the lumbar spine hangs out. Why does that matter? Because it can help identify issues like fractures or disc problems that might be causing some discomfort.
At Stanford Spine Center, they’re all about keeping things comprehensive. Here’s what you might find there:
- Expert Care: You’ll meet with specialists who really know their stuff when it comes to backs and spines.
- Personalized Treatments: They customize plans just for you! Everyone’s back is different, so why shouldn’t treatments be?
- Advanced Technology: Besides those L Spine X-Rays, they have other high-tech tools to diagnose and treat problems.
- Multidisciplinary Approach: You’ve got a whole team working together—from surgeons to physical therapists—making sure you get the best care.
Now let me share a little story. Recently, I met someone who had been dealing with back pain for years. They visited Stanford’s Spine Center and found out that simple lifestyle changes alongside some targeted physical therapy made all the difference. Imagine how amazing it felt for them to finally move without pain!
So yeah, if you’re curious about keeping your spine healthy or sorting out any issues back there in your lower back region, this place seems pretty rad! Just remember though—always check in with healthcare professionals for advice specific to your situation.
Take care of your spine—it’s got your back!
Top-Rated Stanford Spine Surgeons: Expert Care for Spinal Health
So, when it comes to spinal health, the right care can make a huge difference. Seriously, your spine is like the backbone of your whole body—pun intended! If something feels off, you might want to check in with a pro. That’s where those top-rated spine surgeons at places like Stanford come into play.
They’ve got the skills to tackle all sorts of spinal issues. You know, herniated discs, scoliosis or just plain old back pain that won’t quit. What’s cool is that they utilize advanced technology for diagnosis and treatment. One of the latest tools on the scene is L Spine X-Ray technology.
L Spine X-Ray offers super detailed images of your spine without any fuss. It helps in spotting problems quickly and accurately. Imagine you’re going in for a check-up and getting clear pictures of what’s happening inside—kinda like an X-ray but specifically tailored for your spine!
Here are some key points about these incredible specialists:
- Expertise: These surgeons have loads of training and experience.
- Advanced Technology: Tools like L Spine X-Ray make diagnosis way easier.
- Comprehensive Care: They look at your whole health picture, not just the spine.
And hey, it’s not just about surgery. Many times, they’ll start with less invasive options first before considering any procedures. So if you’re dealing with back pain or other spinal issues, seeking help from these experts might be worth it.
Just remember: always consult with healthcare professionals before making decisions about your health! Your body deserves the best care possible. And don’t forget to listen to it—it’s usually trying to tell you something.
Comprehensive Spine Care at Stanford Spine Center Redwood City: Innovative Treatments and Expert Services
So, let’s chat about spine health today. Sounds boring, right? But trust me, it’s super important! Your spine is like the backbone (pun intended!) of your body. Keeping it healthy can really make a difference in how you feel overall.
At the Stanford Spine Center in Redwood City, they’re all about comprehensive spine care. What does that mean? Well, they offer a mix of innovative treatments and expert services designed to help you out. It’s not just about fixing problems; it’s also about keeping your spine happy and functioning well.
One cool thing they have? Advanced L Spine X-Ray technology. Seriously, it’s high-tech stuff! This allows doctors to see your spine in detail without invasive procedures. They can spot issues early on and figure out the best way to help you out—like a superhero with x-ray vision!
Here are a few things that make their approach stand out:
- Personalized Care: They tailor treatments specifically for you. No cookie-cutter solutions here!
- Multidisciplinary Team: You’re not just seeing one type of doctor. They work together—orthopedic surgeons, physical therapists, and more.
- Cutting-edge Technology: Besides the L Spine X-Ray tech, they use various advanced tools to assess your condition.
- Focus on Prevention: It’s not just about fixing what’s broken; they also teach you how to keep your spine healthy.
Now, I remember when my friend Sarah started having some back pain after she had her second baby. She was all over the place with no time for herself! After some research (and a lot of advice from Google), she landed at Stanford Spine Center. They did some fancy x-rays and worked out a plan for her. Fast forward a few months later: she’s feeling way better—no more back twinges!
It really shows how important it is to pay attention to your spine health. And remember, it’s always good to chat with health professionals if something feels off. Your body knows best! So next time you’re thinking about your health goals, don’t forget that taking care of that lovely spine is part of the journey too!
Comprehensive Care at UCSF Spine Center: Advanced Treatments for Back and Neck Pain
So, let’s chat about the UCSF Spine Center. If you’ve been dealing with annoying back or neck pain, this place might just be the ticket. They focus on comprehensive care, meaning they look at your whole situation to really get to the root of your issues. No cookie-cutter solutions here!
First off, they use some pretty advanced treatments that can help manage pain. Think of it like having a toolbox filled with all sorts of gadgets to tackle whatever’s bothering you. You know how sometimes a simple fix isn’t enough? That’s exactly what they’re gearing up to change.
Now, let’s talk about one cool thing: their use of L Spine X-Ray technology. It’s like getting a super-clear snapshot of your spine. Imagine trying to find a specific friend in a crowded concert; if you have a zoomed-in photo, it’s way easier! This tech lets them see exactly what’s going on and helps them figure out the best course of action for you.
Here are some key points about what makes UCSF Spine Center special:
- Personalized Approach: They really listen to you and your concerns.
- Advanced Imaging: Their L Spine X-Ray gives detailed views for accurate assessments.
- Diverse Treatment Options: From physical therapy to cutting-edge procedures, they’ve got options!
- Team Collaboration: Different specialists work together to create a tailored plan just for you.
Sometimes, when I hear stories from friends dealing with back pain, I can’t help but think how frustrating it is. One buddy of mine tried everything—chiropractors, massages—you name it. It wasn’t until he found a place like this that he finally felt some relief. It’s incredible how the right approach can make such a big difference.
In short, if you’re struggling with back or neck issues, remember that places like UCSF Spine Center are out there aiming to make life easier for folks just like you. Just keep in mind that while they’re fantastic at what they do, any treatment should always be discussed with healthcare pros who know your history best!
So, let’s talk about something that might not come up at your Friday night hangout or brunch plans: L spine X-rays. Yep, spine stuff can sound super dull at first, but hear me out!
I remember when my buddy Sam started complaining about back pain. It was like watching someone get old overnight. He couldn’t play basketball anymore and was starting to avoid everything fun. Finally, he went to check it out and ended up with an L spine X-ray. Honestly, I didn’t even know what that was at the time! Turns out it’s an X-ray focused on the lower part of your spine — you know, where all those moves for ball-dunking and dance-offs happen.
Now here’s where it gets interesting: advanced L spine X-ray technology can really make a difference. They’re not just taking old-school snapshots anymore! The images are clearer and more detailed, which helps doctors see what’s going on with your health—like whether there’s any misalignment or damage. Imagine being able to catch those issues early before they become something serious? That’s kinda impressive if you ask me.
The thing is, getting these cool images means you have more info about what’s happening in your back. If you’re working through some discomfort or just wanna stay ahead of any problems (you really don’t want to be like my friend Sam), understanding your spine better could help you revitalize your health.
But remember, while these high-tech machines are pretty fantastic, they’re not a substitute for chatting with a healthcare pro about what those results mean for you personally. So if your back has been throwing tantrums lately or you’re just curious about your spine health, maybe consider giving it a look-see with advanced technology on your side.
At the end of the day, being proactive about our health can lead to living life fully — whether that means hitting the court again or simply being able to carry groceries without wincing! So yeah, maybe L spine X-rays deserve a little more love than we usually give ’em!
